DentistryOrthodontics

Retainers

Retainers are custom devices—either fixed or removable—designed to hold teeth in their new positions after orthodontic treatment. They prevent relapse by stabilizing the teeth while bone, gums, and soft tissues adapt to the corrected alignment.

Doctors & Specialists:

Marino Martín Luque

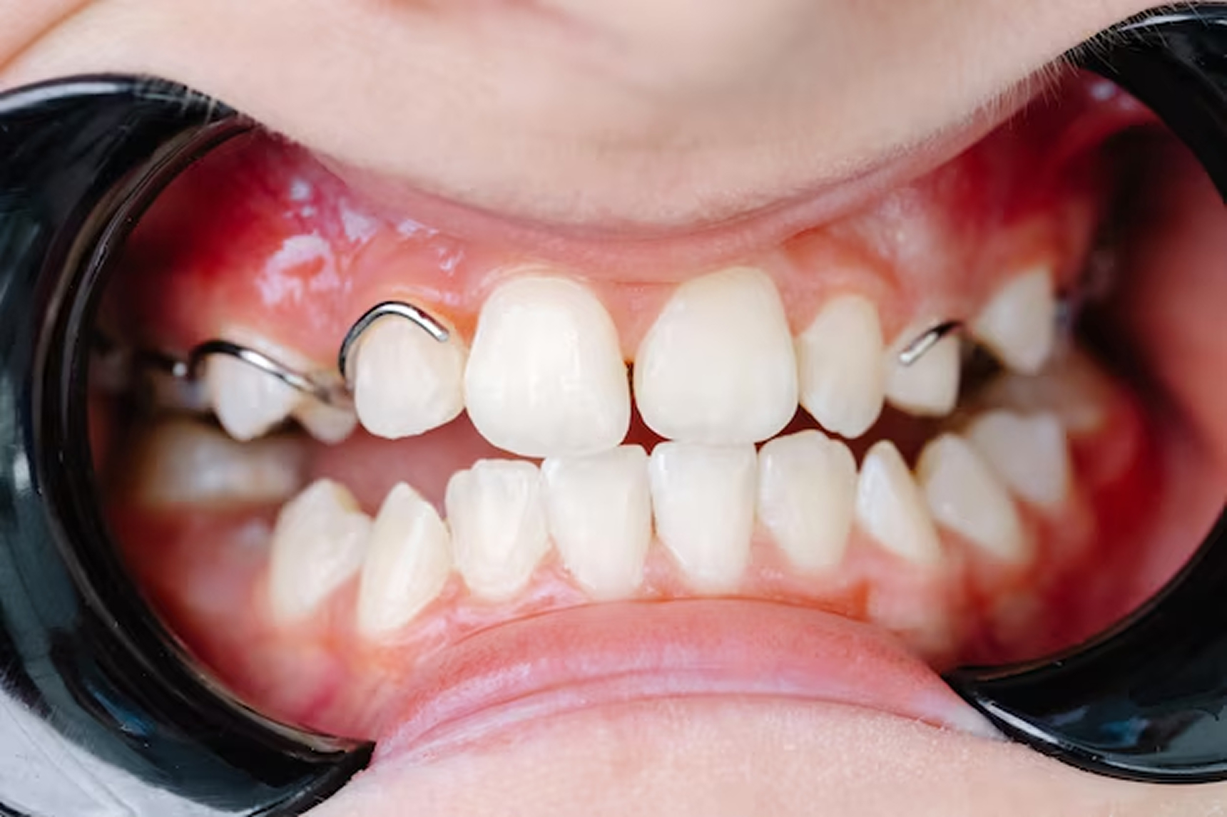
After braces or clear aligners reposition your teeth, the surrounding bone and ligaments need time to reorganize and secure that new arrangement. Without retainers, teeth tend to drift back toward their original position. Retainers act as a safeguard against this relapse. At City Clinic, retainers are precisely designed to your anatomy and may include removable plastic types or bonded wires discreetly fixed behind the teeth. Retention protocols are individualized based on your treatment needs, risk of movement, and long‑term stability.

Indications

After braces or aligners
To prevent tooth relapse
Maintain final alignment
Stabilize bite post-treatment
Preserve smile results

Causes

Natural tooth movement
Elastic recoil of gums
Incomplete bone stabilization
Irregular retainer use

Treatment Details

Procedure Steps

1

Assessment & Impressions – Final orthodontic evaluation and taking digital scans or impressions of aligned teeth.

2

Fabrication & Fitting – Custom retainer is crafted and fitted precisely; comfort and stability are checked.

3

Instructions & Follow-Up – Guidance on wearing schedule, cleaning, and regular check-ups to monitor fit and make adjustments if necessary.

Duration:

Typically takes 20–30 minutes

Number of Sessions:

One fitting session plus periodic follow-up visits

Recovery / Downtime:

None — normal function resumes immediately

Pain Level:

None — retainers are comfortable when properly adjusted

Pre-Treatment:

  • Ensure your teeth are clean before fitting
  • Bring your final orthodontic records or plans
  • Communicate any sensitivity or mouth anatomy concerns

Post-Treatment:

  • Wear the retainer exactly as prescribed (initially often full‑time, later night only)
  • Clean it gently daily with a soft brush and mild solution
  • Store in its protective case when not worn
  • Avoid exposing removable retainers to heat or bending
  • Attend regular dental check-ups to monitor fit and retention

Results

Expected Outcome

In the short term, your teeth remain stable in their new positions. Over time, the surrounding tissues fully adapt, securing the result of orthodontic treatment. Long-term, retainers help preserve your straightened smile and minimise relapse.

How Long
Results Last?


Retention is considered lifelong — many patients transition to wearing retainers at night indefinitely to maintain alignment.

Risks & Considerations

Possible Side Effects


• Mild pressure at first • Plaque buildup if not cleaned • Breakage or warping of retainer • Fixed retainer may loosen

Contraindications (who should avoid it)

• Poor oral hygiene or gum disease
• Inability to commit to wearing and maintaining the device
• Structural issues requiring re‑orthodontic adjustment

Safety Notes

Retainers at City Clinic are designed using precise impressions and high‑quality materials. Fixed retainers are bonded with care to avoid interference, and hygiene instructions are essential to prevent plaque accumulation and gum problems.

Pricing

Price Range (starting from)

Factors Affecting Price

• Removable vs bonded retainer
• Material quality and lab customization
• Need for frequent replacements or adjustments
• Complexity of retention plan

Insurance Coverage

Retainer is not covered by insurance.

FAQs

Will retainers hurt?
No — properly adjusted retainers are comfortable. Mild pressure may be felt initially.
Initially full‑time, then typically night use indefinitely.
Yes — an orthodontist can remove it when appropriate, though removal may risk small movement.
Gently brush removable types daily and care for fixed ones during normal oral hygiene.
Teeth will likely drift back toward previous alignment, undoing treatment results.

Related Treatments

🎀🌸💗 Give a Gift of Health & Beauty to your LOVED ones 💗🌸🎀